Mast Cells

Warrick W Wickett representing a mast cell Ewoks represent mast cells in Immunology Wars. Residents of the planet that help alert to the presence of imperial troops.

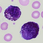
Mast cells are long-lived cells found in the tissues, especially in the skin, spleen, liver, lungs and lymph nodes, where they play an important role in the inflammatory response, particularly in defence against parasitic infections. Mast cells contain granules that are released when the cell becomes activated and results in the signs we associate with inflammation. One chemical found within these granules is histamine, which causes increased blood flow, allowing other cells of the immune system to reach the site of injury or infection more easily.

The inflammatory chemicals released from mast cells can also contribute to the signs and symptoms of allergy, where there is an inappropriate immune response to otherwise harmless substances like pollen or certain foods.

Cells

Tissues

Soluble Mediators

Pathogens

Vaccination